一般的做根充是不是比普通地封药要贵些,而且更复杂些?
人气:
【字体:大 中 小】
发布时间:2007-08-19 01:33:43
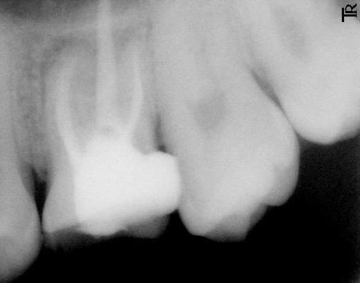
>>>>>>>>提问因为我的药都搞了三个月了都没搞好,人家说只要做根充就可能有好转的机会,可是一直都是在封药,结果落了个药物性根尖炎,还有,我估计医生没有给我做根充,因为我去拍过片子了,没有发现那几根白色的根(
/art_img/200708/19_0133432466.jpg;这张是别人的,做过根管治疗的),而我的没有,很正常的根,不是白色的。现在三个月了,还是疼,特别是外刷时,但很奇怪,最近去换药时,不管他怎么用力去撬都不疼的,但如果深入地去捻的话就会很痛很痛哩,现在他给我封的药是fc+碘,不明白为什么。。。
休 闲 居 编 辑
>>>>>>>>休闲养生网回答:拍摄X线片,根管内没有白色的充填物,可以肯定根本没有根管充填.与根管封药相比根管充填相对要麻烦一点,需要将半固体的药剂和固态的牙胶尖一起充填到根管内.要充填合适不能欠充或超充,欠充容易导致以后根尖炎的复发,超充会刺激根尖组织,导致疼痛感染.所以一定要在X线的指导下进行根管充填,做到恰到好处.
一般的根管治疗只需要一周左右的时间,治疗了3个月还没有好,还发生了药物性根尖炎,我实在有些怀疑给你看牙医生的能力.
持续换药3个月,很容易导致根管内敏感菌对封药产生耐药性,影响治疗效果.如果医生将根尖扩穿就会发生药物性根尖周炎,用根管挫扩的深了就会很疼.建议你最好换家医院,换个好的医生,重新治疗.
你的这种情况基本可以说是治疗失败的病例,再重新治疗的话,可能花费的时间会比较长,而且不一定能够治好,但是继续让现在的医生治疗的话,很可能不但看不好还延误了病情,导致牙齿最后治不好被拔除.
希望你能顺利健康!~
≡ 查看、发表评论 ≡